COMPOSITE BONDING

INJECTION MOULDED TOOTH SYSTEM

Injection Moulding Composite Bonding is an advanced cosmetic dental procedure that offers a minimally invasive solution to address various dental imperfections. This technique involves using a custom-made silicone matrix to inject a flowable composite resin into the tooth, allowing for precise shaping and a natural appearance. It’s particularly effective for correcting chips, gaps, discoloration, and minor misalignments.

The Injection Moulding Process

Teeth Scanning at The Waterfront Clinic Greenock

Scanning and Designing

The process begins with digital scans of your teeth to create a 3D model, ensuring a tailored approach to your smile enhancement.
Custom Teeth Mould at The Waterfront Clinic Greenock

Crafting Your Custom Mould

A clear silicone matrix is fabricated based on the 3D model, serving as a guide for the composite application.
Preparing Teeth at The Waterfront Clinic Greenock

Preparing Your Teeth

Minimal preparation is required; typically, the tooth surface is cleaned and lightly etched to enhance bonding.
Teeth Mould at The Waterfront Clinic Greenock

Moulding Your New Smile

The flowable composite resin is injected into the silicone matrix, which is then placed over the tooth. The material is light-cured to harden.
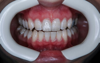
Good Teeth at The Waterfront Clinic Greenock

Finishing Touches

Excess material is trimmed, and the restoration is polished to achieve a smooth, natural finish.

Benefits of the Injection Moulding Technique

Precision and Natural Aesthetics

The technique allows for detailed replication of tooth anatomy, resulting in restorations that blend seamlessly with natural teeth.

Minimally Invasive

Unlike traditional methods, this approach requires little to no removal of healthy tooth structure, preserving tooth integrity.

Efficiency

The procedure is typically completed in a single visit, saving time compared to other restoration methods.

Durability and Stain Resistance

Modern composite materials used are designed to be durable and resistant to staining, maintaining the restoration's appearance over time.

Reversibility

Since minimal tooth structure is altered, the procedure is reversible, allowing for future adjustments if necessary.

Considerations

While Injection Moulding Composite Bonding offers numerous advantages, it's important to note that the longevity of the restoration can be influenced by factors such as oral hygiene practices and dietary habits. Regular dental check-ups are recommended to ensure the continued success of the treatment.